Какие проблемы решает система имплантации зубов?
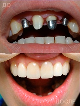
Отсутствие нескольких зубов, расположенных рядом
Потеря даже нескольких зубов подряд запускает целый ряд негативных процессов: соседние зубы начинают смещаться, нарушается прикус, а костная ткань в месте отсутствия зубов перестает получать необходимую нагрузку и постепенно атрофируется. Имплантация позволяет остановить эти изменения. Установка имплантатов, которые служат опорой для мостовидного протеза, эффективно предотвращает атрофию кости, так как они имитируют корни натуральных зубов и передают жевательную нагрузку на челюсть. Это не просто возвращение утраченных зубов, но и восстановление полноценной функции жевания, что позволяет наслаждаться любой пищей без дискомфорта и ограничений, сохраняя при этом максимально естественные ощущения.
Синус-лифтинг и костная пластика
Длительное отсутствие зубов в боковых отделах верхней челюсти часто приводит к атрофии костной ткани, усугубляемой близким расположением гайморовых пазух. В таких условиях высоты кости становится недостаточно для надежной фиксации имплантата. Процедуры синус-лифтинга и костной пластики созданы именно для решения этой проблемы. В ходе операции хирург аккуратно приподнимает дно гайморовой пазухи и заполняет образовавшееся пространство специальным костным материалом, который со временем интегрируется и создает прочный фундамент для будущей имплантации. Эта подготовительная процедура значительно расширяет возможности дентальной имплантации, позволяя проводить успешное лечение даже в самых сложных клинических случаях, где ранее это считалось невозможным.
Адентия челюсти или отсутствие одного зуба
При потере одного зуба классическим решением часто является установка мостовидного протеза, что требует обязательной обточки и депульпирования двух соседних, зачастую абсолютно здоровых зубов. Имплантация — это более современный и щадящий метод, который позволяет избежать этого. Имплантат вживляется непосредственно в кость на место утраченного корня, не затрагивая при этом соседние зубы и сохраняя их целостность на долгие годы. Сверху на имплантат устанавливается коронка, которая изготавливается индивидуально, с учетом цвета, формы и размера ваших собственных зубов. Благодаря этому новый зуб полностью интегрируется в зубной ряд, выглядит абсолютно естественно и неотличим от родных, возвращая вашей улыбке безупречный вид.
  
Стоматология будущего уже сейчас!
 Имплантация зубов: что это и когда нужна?
Имплантация — это самый современный и надежный способ восстановления утраченного зубного ряда, а также сохранения костной ткани. И не забывайте, что здоровая красивая улыбка — это залог счастливого будущего и уверенности в себе! Сегодня эта процедура доступна многим.
Имплант (имплантат) - это металлический стержень (титановый шуруп), который устанавливается в костную ткань челюсти человека. Он становится каркасом для установки протеза — коронки. Таким образом путем хирургического вживления искусственных корней происходит имитация настоящих зубов, которые прослужат вам более 20 лет. Не случайно сам стержень изготавливается из титана. Это биосовместимый материал, приживаемость которого равна 98%.
  
Способ имплантации зубов
Имплантация зубов — сложная и очень ответственная процедура. Поэтому в «Клинике доктора Шувалова» работают специалисты с большим опытом в данной сфере — от 10 лет. А сложные операции, такие как синус-лифтинг, проводят врачи с 17-летним стажем.
Врачи «Клиники доктора Шувалова» специализируются на одномоментной (непосредственной) имплантации зубов. Это один из самых востребованных и удобных способов восстановления зубного ряда. Имплантат устанавливается сразу же после удаления плохого зуба — в тот же день. Затем ставится временная коронка, формирователь десны, абатмент. После приживления - постоянная коронка. И все! Новый зуб почти готов — за один прием.
 
					 
					 
					 
					
 
                                     
	 
	 
	 
						