Коронки из циркония
Сейчас позволить себе установку циркониевых коронок может практически каждый. Если пациент отдаст свое предпочтение керамическим коронкам из циркония, ему будет установлена современная ортопедическая конструкция с максимально длинным сроком эксплуатации и отличными эстетическими свойствами.
Циркониевые коронки бывают двух видов:
- из оксида циркония;
- из диоксида циркония.
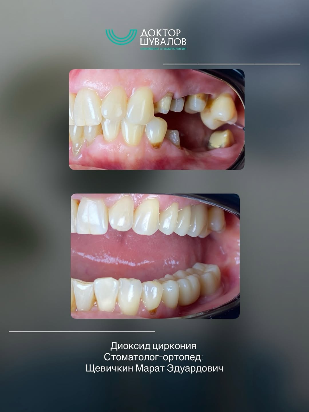
Каждые из них имеют свои преимущества, к примеру, коронки из диоксида циркония практически не заметны, их отличает эстетичный и естественный внешний вид. Кроме того, при их ношении не появляется никаких изменений десны, она не темнеет. Коронки из этого материала отлично подойдут аллергикам и тем, кто страдает чувствительностью зубов.
Выбрав коронки из оксида циркония, вы получите полную эстетичность, так как этот материал абсолютно идентичен зубам по внешнему виду, такие коронки можно устанавливать как на передние, так и на жевательные зубы.
Если вы хотите привести свою улыбку в идеальное состояние, приходите в «Клинику доктора Шувалова»!
