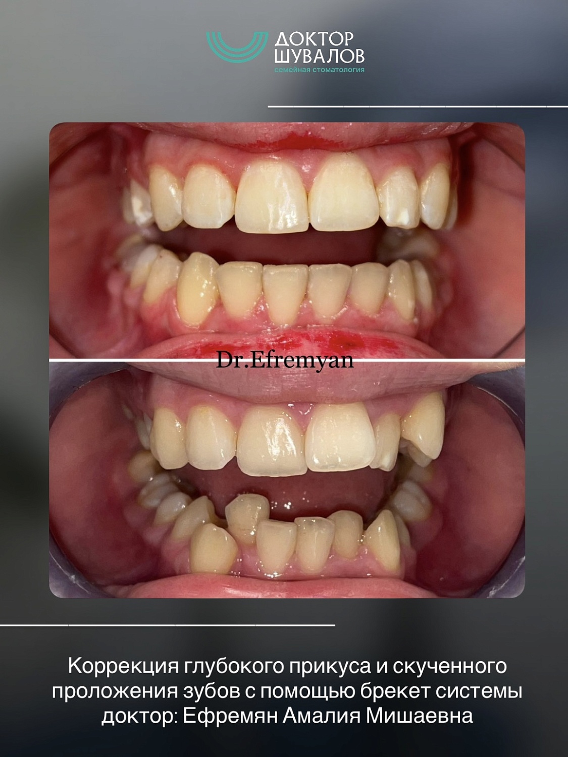
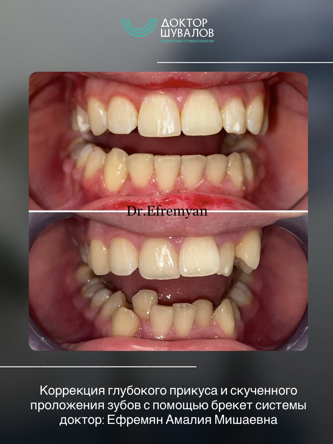
Что такое брекеты и когда они нужны?
Брекеты — это специальные ортодонтические приспособления, которые фиксируются на зубах. На каждый из них крепятся небольшие замочки, которые потом соединяются специальной дугой. И за счет давления этой дуги происходит выравнивание зубного ряда. Таким образом, главные функции брекетов — это исправление положения кривых зубов, а также исправление неправильного прикуса. Последнее крайне важно для длительной правильной работы всей зубочелюстной системы.
В «Клинике доктора Шувалова» специалисты с более чем 10-летним опытом работы в данном направлении быстро и точно подберут для вас модель ортодонтических конструкций и материал, из которого она будет изготовлена. Это поможет сэкономить время при выборе брекетов и минимизировать дискомфорт от их ношения.
Какие брекет-системы устанавливают в «Клинике доктора Шувалова»
Металлические. Это классический вид брекетов, самый распространенный на сегодняшний день. Металлические брекеты очень прочные. Их изготавливают из смеси никеля и титана. Если же у пациента аллергия на никель, то из чистого титана.
Керамические. Преимуществ у таких брекетов два: они гипоаллергенны и имеют цвет практически идентичный зубам, бывают даже прозрачные. При улыбке или разговоре керамические конструкции почти незаметны.
Cамолигирующая фиксация: Damon Q, Azdent и Damon Clear. Это самый надежный и комфортный для пациента способ установки брекетов. Такие системы имеют в своей конструкции механизм, который позволяет дуге оставаться в пазу брекета. Это замковые крепления, они фиксируются на зуб для того, чтобы иметь возможность управлять его положением. Они менее подвижны, за ними проще ухаживать и процесс лечения проходит намного быстрее, чем при других вариантах фиксации.
